Lesão da superfície ocular secundária ao uso de Lentes de Contacto
O crescimento de novos vasos (neovascularização) na periferia da córnea (micropannus) é frequente nos portadores de lentes de contacto “diárias” ou “mensais” (hidrófilas).
Este tipo de neovascularização é causado provávelmente pela hipóxia (diminuição acentuada da oxigenação) e pelo traumatismo crónico do limbo (zona periférica da córnea adjacente à esclera responsável pela constante renovação das suas células), que provocam a libertação de mediadores angiogénicos (favorecem o crescimento de neovasos).
Um crescimento destes neovasos inferior a 2mm é aceitável, mas se eles se extenderem mais de 2mm para dentro da córnea, o uso de lentes de contacto deve ser imediatamente descontinuado.
Pormenor dos neovasos que avançam em toda a periferia da córnea num portador de lentes de contacto.
_ _
Olho Seco
Educadora de infância, 32 anos, insuficiência das glândulas supra-renais.
Motivo da consulta: visão turva, ardência, picadelas, olho vermelho e algum lacrimejo. Queixas mais acentuadas ao final do dia.
Apresentava lesão da superficie ocular (ceratite) em ambos os olhos, provocada pela deficiente produção de lágrima – “olho seco”.
Após instilação de uma gota de corante vital (fluoresceina) observa-se, em toda a superficie ocular, um fino ponteado que corresponde a defeitos epiteliais (ceratite).
Olho esquerdo – Pormenor do ponto lacrimal inferior, através do qual cerca de 85% da lágrima produzida é drenada.
Fotografias tiradas após colocação de um tampão (Plug) no ponto lacrimal inferior, com o objectivo de permitir o contacto da lágrima durante mais tempo com a superficie ocular, através da obstrução, quase total, da sua drenagem. Ultima fotografia mostra o aspecto do olho com Plug colocado (não se observa a olho nú). Coloração amarelada, no canto do olho, corresponde a restos de fluoresceina.
Após um mês as queixas desapareceram.
_ _
Depósitos de amilóide no estroma corneano – Lattice
Paciente de 65 anos, hipertensa.
Operada a catarata do olho direito em Setembro de 2007 seguido de transplante de córnea em Agosto de 2008 por ceratopatia bulhosa.
O olho esquerdo, apresentava aspecto compatível com distrofia reticular do estroma da córnea, tipo 1 (forma clássica de Biber-Haab-Dimmer).
Fotografia do olho esquerdo, tirada após a realização do transplante de córnea do olho direito. _ _
Ceratocone – Estrias de Vogt
Paciente de 22 anos, asmático.
Diminuição acentuada da visão desde há 4 anos. Intolerância às lentes de contacto.
Apresentava ceratocone (patologia frequente da córnea, caracterizada por uma diminuição progressiva da sua espessura na região central ou paracentral, com consequente deformação e diminuição acentuada da visão).
Acuidade visual (óculos) do olho direito +1,50 -4,00×85º = 2/10 e olho esquerdo -4,00×90º = 1/10.
Queratometria do olho direito: Kmáx.= 61 D ; Sim K = 56,6 – 50,4 D e olho esquerdo: Kmáx. = 72 D ; Sim K = 70,2 – 66,7 D
Fotografias tiradas na primeira consulta. Observamos a deformação da córnea (adquiriu a forma de um cone) e as estrias de Vogt (pregas verticais paralelas na zona mais fina do cone, que correspondem a linhas de tensão do estroma corneano).
Foi proposto para anéis intra-corneanos no olho direito e transplante de córnea no olho esquerdo.
O exame topográfico (ORBSCAN) realizado à córnea do olho esquerdo antes do transplante, revela um astigmatismo tão elevado que surge o valor de 337,8 Dioptrias!
As restantes fotografias foram tiradas 1 semana após o transplante de córnea. Foi realizado um transplante lamelar anterior profundo (DALK) suturado com 12 pontos isolados (monofilamento 10/0).
_ _
Distrofia Endotelial de Fuchs
Caso 1
Desenhador de 77 anos, tumor da próstata.
Cirurgia às cataratas em 2007, sem complicações.
Desde Dezembro de 2008 com visão turva do olho esquerdo.
Nas fotografias observamos uma córnea descompensada, com edema do estroma (aumento significativo da espessura corneana). Na segunda fotografia observa-se em pormenor o edema microcístico do epitélio (pequenas vesículas à esquerda do feixe de luz).
Na distrofia endotelial de Fuchs há uma disfunção das células endoteliais (camada mais interna da córnea) responsáveis pela constante desidratação do estroma corneano, permitindo a sua transparência.
Aguarda transplante de córnea.
_ _
Caso 2
Paciente de 67 anos, saudável.
Motivo da consulta: Cataratas bilaterais.
Ao exame oftalmológico foi diagnosticado, para além das densas cataratas que apresentava, alterações do endotélio corneano (Distrofia endotelial de Fuchs).
Contagem de células endoteliais = 634 células por mm2 (o normal para a idade é de cerca de 2200 células por mm2).
Foi explicado à paciente que muito provávelmente iria precisar de um transplante de córnea após a cirurgia de catarata.
Nestas duas fotografias observamos a pigmentação endotelial (camada mais interna da córnea) assim como o aspecto de “metal batido” resultante da confluência das guttae (múltiplos corpúsculos ou pequenas excrescências focais da face posterior da córnea).
Fotografias tiradas um mês após a cirurgia de catarata. A técnica utilizada para extracção da catarata foi a “extra-capsular”, isto é, não foi utilizada a facoemulsificação para evitar a lesão das poucas células endoteliais através dos ultrasons. Apesar disso a córnea descompensou (turva, aumento da espessura, pregas e edema epitelial(microvesículas superficiais)).
Dois meses e meio após a cirurgia de catarata realizamos um transplante de córnea.
Fotografias tiradas um mês e meio após a realização de Queratoplastia penetrante (transplante de córnea).
_ _
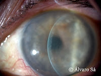
Úlcera de córnea em portador de Lentes de Contacto
Empregado de hotelaria, míope (-3,75D).
Motivo da consulta: olho esquerdo vermelho acompanhado de dor desde há 3 dias.
Usou um par de lentes de contacto mensais durante um ano.
Ao exame oftalmológico apresentava úlcera de córnea paracentral associada a sinais inflamatórios.
Observamos lesão redonda, esbranquiçada na córnea do olho esquerdo (na fotografia identifica-se junto ao bordo pupilar). Trata-se de uma urgência oftalmológica e, por isso, foi medicado agressivamente com antibióticos e anti-inflamatórios tópicos.
Este site utiliza cookies para permitir uma melhor experiência por parte do utilizador. Ao clicar em “Aceitar todos” estará a consentir a sua utilização. No entanto, pode aceder a "Configurações de cookies" para fornecer um consentimento controlado.
This website uses cookies to improve your experience while you navigate through the website. Out of these, the cookies that are categorized as necessary are stored on your browser as they are essential for the working of basic functionalities of the website. We also use third-party cookies that help us analyze and understand how you use this website. These cookies will be stored in your browser only with your consent. You also have the option to opt-out of these cookies. But opting out of some of these cookies may affect your browsing experience.
Necessary cookies are absolutely essential for the website to function properly. These cookies ensure basic functionalities and security features of the website, anonymously.
Cookie
Duração
Descrição
cookielawinfo-checkbox-analytics
11 months
This cookie is set by GDPR Cookie Consent plugin. The cookie is used to store the user consent for the cookies in the category "Analytics".
cookielawinfo-checkbox-functional
11 months
The cookie is set by GDPR cookie consent to record the user consent for the cookies in the category "Functional".
cookielawinfo-checkbox-necessary
11 months
This cookie is set by GDPR Cookie Consent plugin. The cookies is used to store the user consent for the cookies in the category "Necessary".
cookielawinfo-checkbox-others
11 months
This cookie is set by GDPR Cookie Consent plugin. The cookie is used to store the user consent for the cookies in the category "Other.
cookielawinfo-checkbox-performance
11 months
This cookie is set by GDPR Cookie Consent plugin. The cookie is used to store the user consent for the cookies in the category "Performance".
viewed_cookie_policy
11 months
The cookie is set by the GDPR Cookie Consent plugin and is used to store whether or not user has consented to the use of cookies. It does not store any personal data.
Functional cookies help to perform certain functionalities like sharing the content of the website on social media platforms, collect feedbacks, and other third-party features.
Performance cookies are used to understand and analyze the key performance indexes of the website which helps in delivering a better user experience for the visitors.
Analytical cookies are used to understand how visitors interact with the website. These cookies help provide information on metrics the number of visitors, bounce rate, traffic source, etc.
Advertisement cookies are used to provide visitors with relevant ads and marketing campaigns. These cookies track visitors across websites and collect information to provide customized ads.